この二人、理学療法学科と柔道整復学科の学生。二人とも同時にアスレティックトレーナーも目指しています。
違う学科に所属していても、将来の夢は同じ。
同じ夢を追うもの同士は、普段から色々相談しあってとっても仲良しです(お付き合いしている訳ではないですよ)。
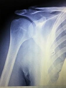
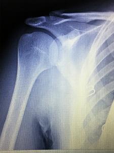
仲が良いのはよいけれど、同じ時期に、しかも同じ右側の肩を・・・
一人は鎖骨骨折、一人は肩鎖関節脱臼を起こしました(笑)。
早く良くなぁ~れ‼
皆さんは、どっちが骨折で、どっちが脱臼か分かりますか?
本校は、医療資格と同時に、日本体育協会公認アスレティックトレーナーも目指せます。
まずは、オープンキャンパスにお越しください。
医療科アスレティックトレーナー履修者の授業風景
正解は、向かって左側が鎖骨骨折、右側が肩鎖関節脱臼でした💛











