CLOSE

BLOG

日常生活(ブログ)

柔道整復学科

ロングギブス固定

こんにちは、柔道整復学科のFです。

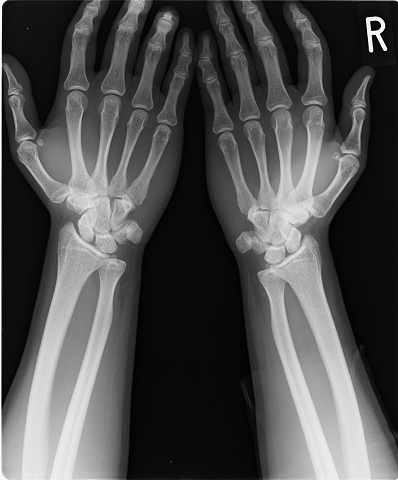
本学科の学生がオートバイで転倒し手首(手関節)を負傷して登校してきました。応急処置として固定を行い整形外科に骨折の確認をお願いしました。


レントゲン検査の結果、骨には損傷がありませんでした。TFCC損傷(軟骨損傷)と診断されました。安静にするためロングギブス固定中です。

前の記事 記事一覧 次の記事
オープンキャンパス 資料請求 LINEで相談