こんにちは、学科長田中です。デジタルとオンラインが柔整トレーナーの業務に影響を与える確実性について、持論を述べてみます。
まず、現場で活躍する柔整トレーナーが行うべき事は、選手の負傷、運動器や体調異変時の手当て。しかしながら、手当ての前にすべきことは、評価と原因追究。
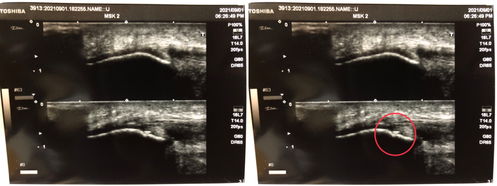
つまり、損傷の評価で対応が変わる。痛みや不調の原因がどこにあるのかを把握しないと、ミスが起こる。
そのためには、損傷か所の内部や、場合によっては体内も観察しないといけない。
国は、柔道整復師が業務の中で超音波エコー観察機器を使い、損傷の評価や程度を対応の参考情報にすることは、差し支えないと、正式に見解を出している。
もし、骨折や脱臼等の重傷症状の場合は、超音波エコー画像が応急手当への参考情報となる。
応急手当以降の処置も、画像情報を医師と共有し同意を得たうえで、引き続き治療にあたることができる。(現時点では、リモートで医師と患者の画像情報を共有しても、継続して治療を行うには、患者の対面診察の上、同意が必要となっています)
※なお、ねんざや、打撲、肉離れ、筋腱の断裂などは、超音波エコー観察検査を実施した上、柔道整復師自身の判断で治療が行えます。
柔整トレーナーが現場で超音波エコー観察検査を活用し、患者貢献、患者利益、そして医療安全に活躍できる日は近い。










