こんにちは、学科長田中です。
先日から学生の超音波エコー観察実習の様子を取り上げていますが、今回もスポーツ医療の症例、第二弾を紹介を致しましょう。
画像解説は前回に引き続き、履正社柔整専門臨床科目の講師で、ご自身の治療にも超音波エコー観察器を導入されている、
なかたに鍼灸整骨院 中谷 功先生です。
今回も当院で経験した症例3、症例4紹介したいと思います。
エコー観察があればこその症例です。
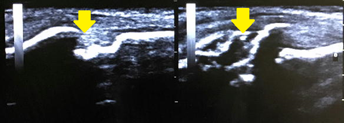
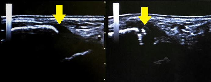
※画像:左が健側、右が患側です。
【症例3 膝の成長痛(オスグット・シュラッター病)】
小学6年生サッカー。強いシュートを打つと膝が痛く、走るのも徐々に辛くなって来院。
脛骨粗面での骨端線部位の骨輪郭に大きな乱れを認める。(程度の強い成長痛)
【症例4 ☆重要症例 腓骨遠位端部裂離骨折(足関節捻挫ではない!)】
小学2年生。遊具から飛び降りた際に着地を失敗して足首をひねり負傷し、来院。
10歳未満の怪我は捻挫と思っていても実際は骨折をしていることがとても多い。
中谷先生、貴重な症例をご教授いただきありがとうございました。
今後も不定期ではありますが、超音波エコー観察器を用いた内容のブログを更新したいと思います。









