こんにちは、学科長田中です。
先日から学生の超音波エコー観察実習の様子を取り上げていますが、今回はスポーツ医療の症例紹介を致しましょう。
画像解説は履正社柔整専門臨床科目の講師で、ご自身の治療にも超音波エコー観察器を導入されている、
なかたに鍼灸整骨院 中谷 功先生です。
専門科目講師の中谷です。
柔道整復学科2年生からは臨床現場ですぐに活かせる授業がたくさんあります。
その中でも今年から始まった『超音波観察装置』を使った講義はとても羨ましく思います。
私たちが何年もかかって得た技術を学生から経験できるのですから。
今回は当院で経験した症例を2例、紹介したいと思います。
エコー観察があればこその症例です。
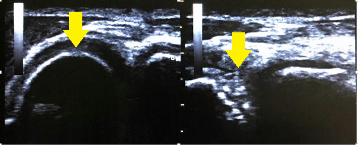
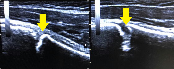
※画像:左が健側、右が患側です。
【症例1 離断性骨軟骨炎(野球肘外側型)】
中学3年生。投球することがほとんどなく、今まで肘を痛めたこともなかった選手が前日ピッチングをして初めて肘の痛みを感じて来院。
痛みは無くとも肘の外側で上腕骨小頭部に骨輪郭の乱れを認めるケースが多い症例。
【症例2:上腕骨近医骨端線離開(リトルリーガーズ・ショルダー)】
中学1年生ピッチャー。ボールを投げても力が入りにくくなっている感覚がする。
「腕が振れない」という主訴で来院。
骨端線の開きが著明である。
臨床では問診、視診、触診、徒手検査だけでは判断できないことが多々あります。
その中で超音波観察装置は見えない中身が確認でき、画像を通して患者さんに理解してもらえるため、その後施術方針を決定するのに重要なツールとなっています。
次回は症例3、症例4を紹介します。










